Keragaman genetik cendawan entomopatogen Metarhizium anisopliae (Metsch.) berasal dari tanah pertanaman kelapa sawit berdasarkan penanda RAPD
Genetic diversity of the entomopathogenic Metarhizium anisopliae (Metsch.) from oil palm planting soil based on RAPD markers
Downloads
Metarizhium anisopliae (Metsch.) is an entomopathogenic fungus that attacks Oryctes rhinoceros (Linnaeus). This fungus is one of the potential bioagents that is environmentally friendly. The purpose of this study was to isolate the fungus M. anisopliae from various oil palm plantation soil samples and to see its genetic diversity based on RAPD markers. The method used in this research is the morphological and the molecular identification of M. anisopliae (ITS), and genetic diversity testing using RAPD markers. Fifteen isolates of M. anisopliae isolated from 15 oil palm plantation sites in North Sumatra were examined for their molecular diversity. On the basis of morphological characteristics, all isolates were identified as M. anisopliae. The result of sequencing with the ITS primer showed that all isolates of M. anisopliae isolated from soil had a 85–99% homology of with M. anisopliae and M. brunneum reference strains from gen bank database National Center Biotechnology Information (NCBI). Eight RAPD primers generated 39 scorable bands which 38 (98,44%) of them were polymorphic. Clustering analysis was performed based on RAPD profiles using Neighbour-Joining Tree method that formed 3 groups.
Downloads
PENDAHULUAN
Cendawan Spesies Metarhizium memiliki sifat mudah bertahan hidup dan beradapatasi dalam sejumlah lingkungan karena spesies ini fleksibel secara genetik pada tingkat fisiologi maupun ekologi, mudah beradaptasi terhadap perubahan heterogenitas nutrisi, peralihan inang dan virulensi, dan berhubungan kepada sejarah dan spesiasi kehidupan seksualnya (Leger RJ & JB, 2020). Metarhizium anisopliae (Metsch.) adalah cendawan entomopatogen aktif yang dikenal sebagai musuh alami banyak serangga hama. Investigasi pada cendawan ini menunjukkan bahwa M. anisopliae dapat menjadi agens pengendalian hayati yang efisien (Zimmerman, 1993). Metarhizium merupakan alternatif pestisida yang dapat dipertimbangkan dan menjanjikan karena pestisida telah menyebabkan kerugian bagi kesehatan dan lingkungan (Stone & Bidochka, 2020). Pengendalian hayati menggunakan musuh alami, seperti entomopatogen M. anisopliae telah terbukti dapat mengendalikan serangga hama. M. anisopliae merupakan salah satu agens hayati yang digunakan dalam mengendalikan larva Oryctes rhinoceros (Linnaeus) (kumbang badak) pada pertanaman kelapa sawit (Susanto et al., 2012).
Kompleksitas dalam klasifikasi umumnya terjadi karena karakter morfologi yang berbeda, misalnya ukuran dan bentuk konidia dan blastospora yang bervariasi yang terdapat dalam organisme yang sama, tetapi dengan kondisi yang dapat berubah (Glare et al., 1996). Teknik random amplification of polymorphic DNA (RAPD) menunjukkan kelebihan ketika digunakan sebagai alat skrining awal (Kumar & Thakur, 2014). RAPD memungkinkan untuk membedakan strain bahkan pada tingkat intra-spesies sehingga lebih sesuai untuk membedakan secara cepat dari sejumlah besar mikroorganisme yang baru diisolasi (Navarro-Barranco et al., 2019). Penggunaan RAPD dinilai penanda yang paling sesuai untuk analisis variabilitas genetik entomopatogen ini (Freed et al., 2014).
Keanekaragaman spesies cendawan entomo- patogen telah dianalisis secara tradisional menggunakan fitur morfologi dengan menilai karakteristik fenotipik. Penentuan karakteristik secara morfologi tidak mampu membedakan antar spesies cendawan sehingga saat ini yang digunakan untuk penentuan adalah identifikasi molekuler, sementara identifikasi morfologi adalah data pendukung. Oleh karena itu, pemanfaatan metode molekuler untuk mendeteksi tingkat polimorfisme di antara spesies membantu meminimalkan masalah. Teknik molekuler yang berbeda telah dilakukan untuk mempelajari keanekaragaman genetik cendawan entomopatogen (Bai et al., 2015).
Penelitian mengenai perbedaan genetik M. anisopliae dengan berbagai macam metode sudah banyak dilakukan di luar Indonesia (Tiago et al., 2011);(Nishi et al., 2017); (Serna-Domínguez et al., 2019);(Korosi et al., 2019). Akan tetapi, di Indonesia khususnya Sumatera Utara, penelitian mengenai perbedaan genetik M. anisopliae belum pernah dilakukan. Tujuan penelitian ini adalah untuk melihat keragaman genetik berbagai isolat M. anisopliae dari lokasi yang berbeda menggunakan penanda RAPD-PCR
BAHAN DAN METODE
Isolasi M. anisopliae dari sampel tanah beberapa kabupaten
M. anisopliae diisolasi dari sampel tanah kebun kelapa sawit rakyat dengan kisaran umur 6–35 tahun. Sampel tanah diambil dari lima kabupaten di Provinsi Sumatera Utara, dari setiap kabupaten diambil tiga kecamatan dan masing- masing kecamatan diambil satu desa. Sampel tanah diambil di sekitar perakaran tanaman dengan menggunakan sekop kecil pada kedalaman 10–15 cm sebanyak ±100 g dari lima titik secara diagonal, kemudian dimasukkan ke dalam kantong plastik dan diberi label sesuai dengan lokasi pengambilan sampel dan waktu. Sampel tanah tersebut dibawa ke laboratorium dan diaduk hingga rata (dikompositkan). Pengambilan sampel tanah dari lima kabupaten Provinsi Sumatera Utara, yaitu Kabupaten Deli Serdang, Langkat, Simalungun, Labuhan Batu, dan Tapanuli Selatan yang merupakan sentra kelapa sawit rakyat (Sumut, 2016). Titik koordinat pengambilan sampel disajikan padaTabel 1.
|
Kabupaten (Regency) |
Kecamatan (Subdistrict) |
Desa (Vilage) |
Koordinat (Coordinate) |
Ketinggian (Elevation) (m dpl) |
|
|---|---|---|---|---|---|
N |
E |
||||
Labuhan Batu |
Rantau Selatan |
Bandar Rejo |
2°4’3”U |
99°52’8”T |
34 |
Labuhan Batu |
Rantau Utara |
Bandar Selamat |
2° 4’32.64”U |
99°51’57.12”T | 34 |
Labuhan Batu |
Bilah Barat |
Kampung Baru |
2° 9’23.34”U |
99°47’1.92”T | 37 |
Tapanuli Selatan |
Batang Toru |
Sipenggeng |
1°28’40.38”U |
99° 6’8.94”T | 177 |
Tapanuli Selatan |
Angkola Sangkunur |
Bandar Tarutung |
1°26’24.60”U |
99° 1’2.16”T | 29 |
Tapanuli Selatan |
Muara Batang Toru |
Perdamean |
1°27’28.86”U |
98°58’25.32”T | 28 |
Simalungun |
Bandar Masilam |
Lias Baru |
3°13’32.64”U |
99°18’41.04”T | 37 |
Simalungun |
Bandar |
Lanbau |
3° 7’46.74”U |
99°18’51.54”T | 58 |
Simalungun |
Bandar Huluan |
Bandar Tonga |
3° 6’43.50”U |
99°13’50.04”T | 101 |
Langkat |
Selesai |
Mancang |
3°39’35.40”U |
98°25’14.70”T | 30 |
Langkat |
Binjai |
Perdamaian |
3°41’52.74”U |
98°25’55.86”T | 13 |
Langkat |
Secanggang |
Teluk Parit Kaca |
3°42’8.28”U |
98°25’40.50”T | 19 |
Deli Serdang |
STM Hilir |
Gunung Rintih |
3°22’3.12”U |
98°42’11.40”T | 141 |
Deli Serdang |
Pancur |
Kutambelin Tanjung Anom |
3°31’32.28”U |
98°34’33.78”T | 54 |
Deli Serdang |
Sibiru-biru |
Namotualang |
3°26’45”U |
98°41’19”T |
94 |
Isolasi M. anisopliae dilakukan dengan memodifikasi metode umpan larva Tenebrio molitor Linnaeus yang dikemukakan oleh(Trizelia et al., 2013). Tanah sebanyak 300 g dimasukkan ke dalam kotak plastik berukuran tinggi 11 cm dan diameter 12 cm, kemudian 10 individu larva T. molitor instar 3 dimasukkan ke dalam kotak plastik yang telah berisi tanah tersebut dan diinkubasi pada suhu kamar selama 10–14 hari. Larva yang mati dengan gejala terinfeksi M. anisopliae diambil dan disterilisasi permukaan dengan natrium hipoklorit 1% dan dibilas tiga kali dengan air steril dan dikeringanginkan. Isolasi cendawan dilakukan dengan cara memotong tubuh larva dan mengambil bagian dalam tubuh larva dan diinokulasikan ke atas media sabouraud dextrose agar yeast (SDAY) steril dalam cawan petri. Cendawan yang tumbuh diidentifikasi secara makroskopis dan mikroskopis. Biakan murni M. anisopliae berumur 16 hari diambil dengan bor gabus ukuran 5 mm, lalu ditanamkan pada media SDAY dan diinkubasi selama 16 hari pada suhu 28 °C.
Identifikasi M. anisopliae secara morfologi
Morfologi M. anisopliae yang tumbuh pada cawan petri diamati dengan melihat warna koloni, bentuk konidia serta mengukur panjang dan lebar konidia di bawah mikoskop (data tidak disajikan).
Identifikasi M. anisopliae secara molekuler Ekstraksi DNA.
Ekstraksi DNA dari konidia M. anisopliae menggunakan Wizard Genomic DNA Purification Kit. Cendawan dimasukkan ke dalam tabung mikrosentrifuse 1,5 ml berisi 200 µl protein nuclei lyses solution (NLS) lalu digerus menggunakan micro pestle hingga halus. Kemudian, ditambahkan lagi 400 µl protein NLS dan divorteks 1–3 detik untuk membasahi jaringan. Sampel diinkubasi dalam thermo mixer pada suhu 65 °C, 15 menit. RNase solution 3 µl ditambahkan ke lisat sel dan dicampur dengan membalikkan tabung 2–5 kali. Campuran tadi diinkubasi pada suhu 37 °C, 15 menit. Sampel dibiarkan dingin dalam suhu ruang selama 5 menit kemudian ditambahkan 200 µl protein precipitation solution dan divorteks 20 detik. Sampel disentrifugasi selama 3 menit pada 13.000 x g. Supernatan dipindahkan ke dalam tabung mikrosentrifuse 1,5 ml yang berisi 600 µl isopropanol suhu ruang. Larutan dicampur dengan perlahan dengan dibolak-balik. Larutan disentrifugasi pada 13.000 x g selama 4 menit. Supernatan dibuang dengan hati-hati. Kemudian, ditambahkan etanol 70% suhu ruang sebanyak 600 µl dan secara perlahan tabung dibalikkan beberapa kali untuk mencuci DNA. Selanjutnya, disentrifugasi pada 13.000 x g selama 1 menit. Etanol dibuang dan pelet DNA dikeringanginkan selama 15 menit. DNA rehydration solution ditambahkan sebanyak 100 µl dan rehidrasi pada suhu 65 °C selama 1 jam. DNA disimpan pada suhu 2–8 °C (Promega, 2019).
Identifikasi secara molekuler menggunakan PCR.
Identifikasi M. anisopliae secara molekuler dilakukan dengan sekuensing DNA menggunakan primer ITS1 (TCCGTAGGTGAACCTTGCGG) untuk reaksi forward dan ITS4 (TCCTCCGCTT ATTGATATGC) untuk reaksi reverse sesuai yang dilakukan oleh (CC et al., 2012). Target pasangan basa yang harus dicapai di kisaran 600 pb. Proses thermocycler adalah sebagai berikut: Tahap 1: pra-amplifikasi PCR 3 menit pada suhu 95 °C; Tahap II: amplifikasi PCR dilakukan sebanyak 30 siklus reaksi, dengan pemisahan utas DNA genom (denaturasi) pada suhu 94 °C, 30 detik. Penempelan primer (annealing) pada suhu 55 °C, 30 detik: sintesis pada suhu 72 °C, 1 menit; dan tahap III: Pasca-amplifikasi pada suhu 72 °C, 10 menit. Sekuensing dilakukan untuk mengidentifikasi M. anisopliae dari ekstrak DNA. Ekstrak DNA dikirim ke Macrogen, Korea. Sekuens yang diperoleh dianalisis dengan data serupa yang telah dipublikasikan sebelumnya di bank gen dengan analisis penyejajaran (allignment). Analisis penyejajaran digunakan untuk membandingkan dua sekuens atau lebih dengan program Basic Local Allignment Search Tools (BLAST) melalui National Center Biotechnology Information (NCBI). Pohon filogenetik dibangun menggunakan perangkat lunak Mega 5.2. menggunakan algoritma NeighbourJoining Tree.
Amplifikasi DNA dengan teknik RAPD- PCR.
Hasil ekstraksi DNA diamplifikasi dengan teknik RAPD-PCR menggunakan 10 jenis primer, yaitu OPA-12 (TCGGCGATAG), OPA-09 (GGG TAACGCC), OPAB-04 (GGCACGCGTT), OPC- 04 (CCGCATCTAC), OPC-01 (TTCGAGCCAT), OPAB-09 (GGGCGACTAC), OPA-03 (AGTCAG CCAC), OPAB-03 (TGGCGCACAC), OPA-04 (AATCGGGCTG), dan OPA-10 (GTGATCGCAG). Volume final campuran reaksi PCR adalah 25 µl. Komposisi reaksi PCR sebagai berikut: 12,5 µl PCR Gotaq Green Master Mix 2x, 2,5 µl primer, 5 µl DNA sampel, dan 5 µl nucleus water dengan menggunakan mesin thermo cycler berlangsung dengan urutan sebagai berikut: Tahap 1: praamplifikasi PCR 1 menit pada suhu 94 °C; Tahap II: amplifikasi PCR dilakukan sebanyak 40 siklus reaksi, dengan pemisahan utas DNA genom (denaturasi) pada suhu 94 °C, 35 detik. Penempelan primer (annealing) pada suhu 40°C, 35 detik: sintesis pada suhu 72 °C, 1 menit; dan tahap III: Pasca-amplifikasi pada suhu 72 °C, 10 menit (Freed et al., 2014) .
Analisis DNA pada agarosa gel elektroforesis.
Fragmen DNA hasil amplifikasi untuk setiap primer dipisahkan pada gel agarosa 1,5% dalam buffer TAE 1X pada 80 V selama 1 jam. Gel agarosa diwarnai dengan 2 µl ethidium bromida. Pita DNA hasil amplifikasi diamati di atas transiluminator UV dan dilanjutkan dengan pemotretan menggunakan alat dokumentasi gel UV. Profil pita RAPD diamati berdasarkan pola polimorfiknya, yaitu dengan melihat jumlah dan ukuran pita.
Analisis data hasil PCR menggunakan primer ITS.
Hasil sekuens dengan primer ITS dimasukkan ke database bank gen NCBI untuk menentukan homologi dengan data yang ada di NCBI. Pohon filogenetik dibangun menggunakan perangkat lunak Mega 5.2.
Analisis data hasil RAPD.
Pita polimorfik masing-masing sampel DNA diamati untuk menentukan adanya perbedaan isolat. Setiap posisi pita DNA diubah ke dalam bentuk data biner dengan memberi nilai 1 jika ada pita dan 0 jika tidak ada pita. Data biner ini selanjutnya diolah dengan menggunakan program perangkat lunak Darwin 6.0.14. Berdasarkan nilai kesamaan genetik tersebut dilakukan analisis pengelompokan (cluster analysis) menggunakan metode Neighbour-Joining Tree. Hasil analisis pengelompokan tersebut berupa dendogram kesamaan genetik yang menunjukkan hubungan kesamaan antar isolat.
HASIL
Morfologi M. anisopliae
Hasil pengamatan morfologi secara makro- skopis dan mikroskopis menunjukkan cendawan yang diisolasi dari tanah pertanaman kelapa sawit adalah Metarhizium sp.Gambar 1. Secara makroskopis warna koloni cendawan berwarna kuning kehijauan, dengan atau tanpa zonasi. Secara mikroskopis konidia berbentuk silinder dan berwarna hijau.
Molekuler M. anisopliae dengan sekuensing menggunakan primer ITS1 dan ITS4
Hasil amplifikasi DNA 15 sampel M. anisopliae menggunakan primer ITS 1 dan ITS 4 berada pada kisaran 600 pb. Hasil sekuensing disajikan padaTabel 2 filogenetik hasil sekuensing menggunakan primer ITS disajikan padaGambar 2. Dari 15 sampel yang disekuensing diperoleh kesamaan genetik dengan kisaran 86–99% dengan strain yang dirujuk yang terdaftar di website NCBI. Informasi strain rujukan untuk membandingkan 15 sampel M. anisopliae disajikan padaTabel 3. Dari hasil BLAST NCBITabel 3 15 isolat M. anisopliae pada penelitian ini berkerabat dekat dengan Metarhizium yang diisolasi dari tanah dari China, Australia, Turki, Jepang, British Columbia, Swiss, dan Amerika.
Profil pita DNA hasil PCR dengan marka RAPD
Hasil amplifikasi terhadap 10 primer menunjukkan bahwa hanya 8 primer yang dapat menghasilkan pita pada sampel M. anisopliae. Ukuran DNA hasil amplifikasi diestimasi melalui perbandingan migrasi setiap fragmen yang diamplifikasi dengan fragmen marka (DNA ladder 100 pb). Dari 8 primer yang produktif, total jumlah pita RAPD-PCR yang dihasilkan sebanyak 39 pita (lokus) dengan rataan jumlah pita per primer sebanyak 4,875 pita.
Gambar 1.Metarhizium sp. asal 1: Kampung Baru (Labuhan Batu); 2: Bandar Rejo (Labuhan Batu); 3: Bandar Selamat (Labuhan Batu); 4: Sipenggeng (Tapanuli Selatan); 5: Perdamean (Tapanuli Selatan); 6: Bandar Tarutung (Tapanuli Selatan); 7: Lanbau (Simalungun); 8: Bandar Tonga (Simalungun); 9: Lias Baru (Simalungun); 10: Perdamaian (Langkat); 11: Teluk Parit Kaca (Langkat); 12: Mancang (Langkat); 13: Gunung Rintih (Deli Serdang); 14: Namotualang (Deli Serdang); 15: Kutambelin (Deli Serdang). (Metarhizium sp. from 1: Kampung Baru (Labuhan Batu); 2: Bandar Rejo (Labuhan Batu); 3: Bandar Selamat (Labuhan Batu); 4: Sipenggeng (Tapanuli Selatan); 5: Perdamean (Tapanuli Selatan); 6: Bandar Tarutung (Tapanuli Selatan); 7: Lanbau (Simalungun); 8: Bandar Tonga (Simalungun); 9: Lias Baru (Simalungun); 10: Perdamaian (Langkat); 11: Teluk Parit Kaca (Langkat); 12: Mancang (Langkat); 13: Gunung Rintih (Deli Serdang); 14: Namotualang (Deli Serdang); 15: Kutambelin (Deli Serdang)).(Metarhizium sp. from 1: Kampung Baru (Labuhan Batu); 2: Bandar Rejo (Labuhan Batu); 3: Bandar Selamat (Labuhan Batu); 4: Sipenggeng (Tapanuli Selatan); 5: Perdamean (Tapanuli Selatan); 6: Bandar Tarutung (Tapanuli Selatan); 7: Lanbau (Simalungun); 8: Bandar Tonga (Simalungun); 9: Lias Baru (Simalungun); 10: Perdamaian (Langkat); 11: Teluk Parit Kaca (Langkat); 12: Mancang (Langkat); 13: Gunung Rintih (Deli Serdang); 14: Namotualang (Deli Serdang); 15: Kutambelin (Deli Serdang)).
No. |
Sampel (Sample) |
Sekuens basa nukleotida (Nucleotide base sequence) |
|---|---|---|
1. |
M. anisopliae K. Baru_ITS_1 (M1) |
GTCCTGTTACATCCACCCCTGTGATTATACCTTTAATTGTTGCTTCGGC- GGGACTTCGCGCCCGCCGGGGACCCAAACCTTCTGAATTTTTTAATA- AGTATCTTCTGAGTGGTTAAAAAAAATGAATCCAAAATTTCAACGACCG- GACTTTTGGTTCCGGGCTCCATGAAAAACGCAACCAAATGGGATTAGTA- ATGGGAATTGCCGAAATCAGTGGAACCTCCGATCTTTTAACGCCCCTTGC- GCCCGGCCGTATTCTGGGCGGCATGGCCGGTCCAACGTCATTTCCCCCCCT- CAGTCCCCTGGGGAACTGGTGTTGGGGATCCGCCAAGCTGGTTTTC- CAGCACAGCCCGCCCTTAA ATTA ATTGGCGGTCTCCCCCTG - GCCCCCCCTTTCCCAATAATAAAAACTCGCCACAGGGGCCCGGGCGC- GTCCCCTGCCCTAAAACCCCCAACTTTTTATAGTGACTCGAATAGGTGAGA- CTACCCGCTGAATTAACATATCATACCGAAGGAACTTGTTCATTTGACCAAC- CAGCACGGGTCTCACGACCCTCTATGTATCGATGCGCCCAGGCAGTTACCT- GATATCATGGA |
2. |
M. anisopliae B. Rejo_ITS_1 (M2) |
TGGTAAAACAGCGTACGCTCCCACCCCTGTGATTATACCTTTAATTGTT- GCTTCGGCGGGACTTCGCGCCCGCCGGGGACCCAAACCTTCTGAATTTTT- TAATAAGTATCTTCTGAGTGGTTAAAAAAAAATGAATCAAAACTTTCAACA- ACGGATCTCTTGGTTCTGGCATCGATGAAGAACGCAGCGAAATGCGATAAG- TAATGTGAATTGCAGAATTCAGTGAATCATCGAATCTTTGAACGCACATT- GCGCCCGTCAGTATTCTGGCGGGCATGCCTGTTCGAGCGTCATTACGCC- CCTCAAGTCCCCTGTGGACTTGGTGTTGGGGATCGGCGAGGCTGGTTTTC- CAGCACAGCCGTCCCTTAAATTAATTGGCGGTCTCGCCGTGGCCCTCCTCT- GCGCAGTAGTAAAACACTCGCAACAGGAGCCCGGCGCGGTCCACTGC- CGTAAAACCCCCCCAACTTTTTATAGTTGACCTCGAATCAGGTAGGAC- TACCCGCTGAACTTAAGCATATCAAAAACCGGGAAGGAACCAACCCCT- GCCCCCAACCCC |
3. |
M. anisopliae Sipenggeng_ITS_1 (M4) |
TGGGGAAAGGAAAACGTAAGATCCCACCCCTGTGATTATACCTTTAATTGTT- GCTTCGGCGGGACTTCGCGCCCGCCGGGGACCCAAACCTTCTGAATTTTT- TAATAAGTATCTTCTGAGTGGTTAAAAAAAAATGAATCAAAACTTTCA- ACAACGGATCTCTTGGTTCTGGCATCGATGAAGAACGCAGCGAAATGC- GATAAGTAATGTGAATTGCAGAATTCAGTGAATCATCGAATCTTTGAACG- CACATTGCGCCCGTCAGTATTCTGGCGGGCATGCCTGTTCGAGCGTCAT- TACGCCCCTCAAGTCCCCTGTGGACTTGGTGTTGGGGATCGGCGAGGCTG- GTTTTCCAGCACAGCCGTCCCTTAAATTAATTGGCGGTCTCGCCGTG- GCCCTCCTCTGCGCAGTAGTAAAACACTCGCAACAGGAGCCCGGCGCG- GTCCACTGCCGTAAAACCCCCCCAACTTTTTATAGTTGACCTCGAATCAGG- TAGGACTACCCGCTGAACTTAAGCATATCATAAACCCGAAGGAAACCAAC- CAAAACCAAAAA |
4. |
M. anisopliae Sipenggeng_ITS_1 (M4) |
GTGAATTGGAGCTATACGAATCCCACCCCTGTGATTATACCTTTAATTGTT- GCTTCGGCGGGACTTCGCGCCCGCCGGGGACCCAAACCTTCTGAATTTTT- TAATAAGTATCTTCTGAGTGGTTAAAAAAAAATGAATCAAAACTTTCAA- CAACGGATCTCTTGGTTCTGGCATCGATGAAGAACGCAGCGAAATGC- GATAAGTAATGTGAATTGCAGAATTCAGTGAATCATCGAATCTTTGAAC- GCACATTGCGCCCGTCAGTATTCTGGCGGGCATGCCTGTTCGAGCGT- CATTACGCCCCTCAAGTCCCCTGTGGACTTGGTGTTGGGGATCGGCGAG- GCTGGTTTTCCAGCACAGCCGTCCCTTAAATTAATTGGCGGTCTCGC- CGTGGCCCTCCTCTGCGCAGTAGTAAAACACTCGCAACAGGAGCCCG- GCGCGGTCCACTGCCGTAAAACCCCCCCAACTTTTTATAGTTGACCTC- GA AT CAGGTAGGACTACCCGCTGAACTTAAGC ATAT C ATAAACCG - GAAGGAAGTTTTTTTTTTTTGTTTTGTT |
5. |
M. anisopliae Perdamean TS_ ITS_1 (M5) |
GGAAAAATAGCCGGAAGACAGCACACCCCTGTGATTATACCTTTAATTGTT- GCTTCGGCGGGACTTCGCGCCCGCCGGGGACCCAAACCTTCTGAATTTTT- TAATAAGTATCTTCTGAGTGGTTAAAAAAAAATGAATCAAAACTTTCAA- CAACGGATCTCTTGGTTCTGGCATCGATGAAGAACGCAGCGAAATGC- GATAAGTAATGTGAATTGCAGAATTCAGTGAATCATCGAATCTTTGAACG- CACATTGCGCCCGTCAGTATTCTGGCGGGCATGCCTGTTCGAGCGTCAT- TACGCCCCTCAAGTCCCCTGTGGACTTGGTGTTGGGGATCGGCGAGGCTG- GTTTTCCAGCACAGCCGTCCCTTAAATTAATTGGCGGTCTCGCCGTG- GCCCTCCTCTGCGCAGTAGTAAAACACTCGCAACAGGAGCCCGGCGCG- GTCCACTGCCGTAAAACCCCCCAACTTTTTATAGTTGACCTCGAATCAG- GTAGGACTACCCGCTGAACTTAAGCATATCAAAAACCGGGAGGAAATATA- AATTTTAAATAAATTT |
6. |
M. anisopliae B. Tarutung_ITS_1 (M6) |
TTTTTAGGCGGGAGAGCGAAAGAAGCCACCCCTGTGATTATACCTTTA- ATTGTTGCTTCGGCGGGACTTCGCGCCCGCCGGGGACCCAAACCTTCT- GAATTTTTTAATAAGTATCTTCTGAGTGGTTAAAAAAAAATGAAT- CAAAACTTTCAACAACGGATCTCTTGGTTCTGGCATCGATGAAGAAC- GCAGCGAA ATGCG ATAAGTA ATGTGA ATTGCAGA ATTCAGTGA AT- CATCGAATCTTTGAACGCACATTGCGCCCGTCAGTATTCTGGCGGGCAT- GCCTGTTCGAGCGTCATTACGCCCCTCAAGTCCCCTGTGGACTTGGT- GTTGGGGATCGGCGAGGCTGGTTTTCCAGCACAGCCGTCCCTTAAATTA- ATTGGCGGTCTCGCCGTGGCCCTCCTCTGCGCAGTAGTAAAACACTCG- CAACAGGAGCCCGGCGCGGTCCACTGCCGTAAAACCCCCCCAACTTTT- TATAGTTGACCTCGAATCAGGTAGGACTACCCGCTGAACTTAAGCATAT- CATAACCGGGAAGGAACCAACCCCAAAACACTACAA |
7. |
M. ansiopliae Lanbau_ITS_1 (M7) |
TGGGCGAAGGGAGCTAGGGGTAAAGCCACCCCTGTGATTATACCTTTA- ATTGTTGCTTCGGCGGGACTTCGCGCCCGCCGGGGACCCAAACCTTCT- GAATTTTTTAATAAGTATCTTCTGAGTGGTTAAAAAAAAATGAAT- CAAAACTTTCAACAACGGATCTCTTGGTTCTGGCATCGATGAAGAAC- GCAGCGAA ATGCG ATAAGTA ATGTGA ATTGCAGA ATTCAGTGA AT- CATCGAATCTTTGAACGCACATTGCGCCCGTCAGTATTCTGGCGGGCAT- GCCTGTTCGAGCGTCATTACGCCCCTCAAGTCCCCTGTGGACTTGGT- GTTGGGGATCGGCGAGGCTGGTTTTCCAGCACAGCCGTCCCTTAAATTA- ATTGGCGGTCTCGCCGTGGCCCTCCTCTGCGCAGTAGTAAAACACTCG- CAACAGGAGCCCGGCGCGGTCCACTGCCGTAAAACCCCCCCAACTTTT- TATAGTTGACCTCGAATCAGGTAGGACTACCCGCTGAACTTAAGCATAT- CATAAACCGGAAGGAACCCCCATAAAAGGAGAAA |
8. |
M. anisopliae B. Tonga_ITS_1 (M8) |
TTAAAAATCGGGGCGTACGCTCCACCCCTGTGATTATACCTTTAATTGTT- GCTTCGGCGGGACTTCGCGCCCGCCGGGGACCCAAACCTTCTGAATTTTT- TAATAAGTATCTTCTGAGTGGTTAAAAAAAAATGAATCAAAACTTTCAAC- AACGGATCTCTTGGTTCTGGCATCGATGAAGAACGCAGCGAAATGCGATA- AGTAATGTGAATTGCAGAATTCAGTGAATCATCGAATCTTTGAACGCA- CATTGCGCCCGTCAGTATTCTGGCGGGCATGCCTGTTCGAGCGTCATTACGC- CCCTCAAGTCCCCTGTGGACTTGGTGTTGGGGATCGGCGAGGCTGGTTTTC- CAGCACAGCCGTCCCTTAAATTAATTGGCGGTCTCGCCGTGGCCCTCCTCT- GCGCAGTAGTAAAACACTCGCAACAGGAGCCCGGCGCGGTCCACT- GCCGTAAAACCCCCCCAACTTTTTATAGTTGACCTCGAATCAGGTAGGAC- TACCCGCTGAACTTAAGCATATCAATAAGCGGAGGAAAATTTGAGGGAGA- AATAT |
9. |
M. anisopliae L. baru_ITS_1 (M9) |
GGGAAATAAGCTGTAAAAAGCCAACCCCTGTGATTATACCTTTAATTGTT- GCTTCGGCGGGACTTCGCGCCCGCCGGGGACCCAAACCTTCTGAATTTTT- TAATAAGTATCTTCTGAGTGGTTAAAAAAAAATGAATCAAAACTTTCAAC- AACGGATCTCTTGGTTCTGGCATCGATGAAGAACGCAGCGAAATGCGATA- AGTAATGTGAATTGCAGAATTCAGTGAATCATCGAATCTTTGAACGCA- CATTGCGCCCGTCAGTATTCTGGCGGGCATGCCTGTTCGAGCGTCATTACGC- CCCTCAAGTCCCCTGTGGACTTGGTGTTGGGGATCGGCGAGGCTGGTTTTC- CAGCACAGCCGTCCCTTAAATTAATTGGCGGTCTCGCCGTGGCCCTCCTCT- GCGCAGTAGTAAAACACTCGCAACAGGAGCCCGGCGCGGTCCACT- GCCGTAAAACCCCCCAACTTTTTATAGTTGACCTCGAATCAGGTAGGAC- TACCCGCTGAACTTAAGCATATCAAAAGCCGGGAGGAAAAAAATTTTATA- AAAAAAATTTTTTAAAAAA |
10. |
M. anisopliae Perdamaian L_ITS_ 1 (10) |
GGGGAGAAAAGCGTAGCATCTGATCCCTGTGACTATACCTGTAGTTGTT- GCTTCGGGGGGACTTCTCGCCCGCCGGGGACCCAAACCTTCTGAATTTTT- TAATAAGTATCTTCTGAGTGGTTAAAAAAAAATGAATCAAAAATTTCAA- CAACGGATCTCTTGGTTCTGGCATCGATGAAGAACGCAGCGAAATGC- GATAAGTAATGTGAATTGCAGAATTCAGTGAATCATCGAATCTTTGAACG- CACATTGCGCCCGTCAGTATTCTGGCGGGCATGCCTGTTCGAGCGTCAT- TACGCCCCTCAAGTCCCCTGTGGACTTGGTGTTGGGGATCGGCGAGGCTG- GTTTTCCAGCACAGCCGTCCCTTAAATTAATTGGCGGTCTCGCCGTG- GCCCTCCTCTGCGCAGTAGTAAAACACTCGCAACAGGAGCCCGGCGCG- GTCCACTGCCGTAAAACCCCCCCAACTTTTTATAGTTGACCTCGAATCAGG- TAGGACTACCCGCTGAACTTAAGCATATCATAACCCGGAAGGAAAAACCCC- GCCCCTGGGGGGGGTTTTTCTTCGGGGG |
11. |
M. anisopliae Teluk_ ITS_1 (M11) |
TTGGAATACGAACGTAGGCTCCCACCCCTGTGATTATACCTTTAATTGTT- GCTTCGGCGGGACTTCGCGCCCGCCGGGGACCCAAACCTTCTGAATTTTT- TAATAAGTATCTTCTGAGTGGTTAAAAAAAAATGAATCAAAACTTTCAAC- AACGGATCTCTTGGTTCTGGCATCGATGAAGAACGCAGCGAAATGC- GATAAGTAATGTGAATTGCAGAATTCAGTGAATCATCGAATCTTTGAACG- CACATTGCGCCCGTCAGTATTCTGGCGGGCATGCCTGTTCGAGCGTCAT- TACGCCCCTCAAGTCCCCTGTGGACTTGGTGTTGGGGATCGGCGAGGCTG- GTTTTCCAGCACAGCCGTCCCTTAAATTAATTGGCGGTCTCGCCGTG- GCCCTCCTCTGCGCAGTAGTAAAACACTCGCAACAGGAGCCCGGCGCG- GTCCACTGCCGTAAAACCCCCCCAACTTTTTATAGTTGACCTCGAATCAG- GTAGGACTACCCGCTGAACTTAAGCATATCAAAAACCCGGAGGAAATTT- TATAACAAAAAAATGGGA |
12. |
M. anisopliae Mancang_ITS_1 (M12) |
TGGTAATGAATTTTCCCACTCCACCCCTGTGATTATACCTTTAATTGTTG- CATTCAGGCGGGACTTCGCGCCCGCCGGGGACCCAAACCTTCTGAATTTTT- TAATAAGTATCTTCTGAGTGGTTAAAAAAAAATGAATCAAAACTTTCAA- CAACGGATCTCTTGGTTCTGGCATCGATGAAGAACGCAGCGAAATGC- GATAAGTAATGTGAATTGCAGAATTCAGTGAATCATCGAATCTTTGAAC- GCACATTGCGCCCGTCAGTATTCTGGCGGGCATGCCTGTTCGAGCGT- CATTACGCCCCTCAAGTCCCCTGTGGACTTGGTGTTGGGGATCGGC- GAGGCTGGTTTTCCAGGACAGGCATCCCCTCAAAAAACCCGACCTTGC- CAGTAAGAGGATCCTCCGTCGCAGAATTTCCAAGGTAAAGCCCGTCT- GCCCCAAGTCAAAGTGGGGGGGACTTCACGGAAGGACTCTCCCTAATAC- GCGGAAAAAATTTCCCATATCGAAACCCTTTTATCTCCGAAAACCCGAAC- CACCGGGCGAAAAATCCCCCCCCTTGGGGGGAAATAACCCCGGGGGGGCA- CAAA ATTTCTGAAGA ATTTCCCCAACAGGAAAAACCCCCCACAA - CAATATCCCCAAAAAAAAAAAGTGGCCCCCAAAAAAAATAAAAGGGTTTA- AAAAAG |
13. |
M. anisopliae G. Rintih_ITS_1 (M13) |
TTGGTGATTTACGCGAACGAATCCAACCCCTGTGAGTTATACCTTTAAGTT- GTCGGCTTCGGGGGGACTTCGCGCCCGCCGGGGACCCAAACCTTCT- GAATTTTTTAATAAGTATCTTCTGAGTGGTTAAAAAAAAATGAAT- CAAAAATTTCAACAACGGATCTCTTGGTTCTGGCATCGATGAAGAAC- GCAGCGAA ATGCG ATAAGTA ATGTGA ATTGCAGA ATTCAGTGA AT- CATCGAATCTTTGAACGCACATTGCGCCCGTCAGTATTCTGGCGGGCAT- GCCTGTTCGAGCGTCATTACGCCCCTCAAGTCCCCTGTGGACTTGGT- GTTGGGGATCGGCGAGGCTGGTTTTCCAGCACAGCCGTCCCTTAAATTA- ATTGGCGGTCTCGCCGTGGCCCTCCTCTGCGCAGTAGTAAAACACTCGCAA- CAGGAGCCCGGCGCGGTCCACTGCCGTAAAACCCCCCAACTTTTTATAGTT- GACCTCGAATCAGGTAGGACTACCCGCTGAACTTAAGCATATCAAAAGCCG- GAGGAACCCCCCAAACCGCCAAAAAAA |
14. |
M. anisopliae Namotualang_ITS_1 (M14) |
GGGAAAAGAAGCTGAACGACAGCCCACCCCTGTGATTATACCTTTA- ATTGTTGCTTCGGCGGGACTTCGCGCCCGCCGGGGACCCAAACCTTCT- GAATTTTTTAATAAGTATCTTCTGAGTGGTTAAAAAAAAATGAAT- CAAAACTTTCAACAACGGATCTCTTGGTTCTGGCATCGATGAAGAAC- GCAGCGAA ATGCG ATAAGTA ATGTGA ATTGCAGA ATTCAGTGA AT- CATCGAATCTTTGAACGCACATTGCGCCCGTCAGTATTCTGGCGGGCAT- GCCTGTTCGAGCGTCATTACGCCCCTCAAGTCCCCTGTGGACTTGGT- GTTGGGGATCGGCGAGGCTGGTTTTCCAGCACAGCCGTCCCTTAAATTA- ATTGGCGGTCTCGCCGTGGCCCTCCTCTGCGCAGTAGTAAAACACTCGCAA- CAGGAGCCCGGCGCGGTCCACTGCCGTAAAACCCCCCAACTTTTTATAGTT- GACCTCGAATCAGGTAGGACTACCCGCTGAACTTAAGCATATCTAAAGC- GGGAAGGAAACCCCTAACAAAGCCACCGGA |
15. |
M. anisopliae Kutambelin_ITS_1 (M15) |
GTAACGGGAGGTACGGTAGATCCACCCCTGTGATTATACCTTTAATTGTT- GCTTCGGCGGGACTTCGCGCCCGCCGGGGACCCAAACCTTCTGAATTTTT- TAATAAGTATCTTCTGAGTGGTTAAAAAAAAATGAATCAAAACTTTCAAC- AACGGATCTCTTGGTTCTGGCATCGATGAAGAACGCAGCGAAATGC- GATAAGTAATGTGAATTGCAGAATTCAGTGAATCATCGAATCTTTGAACG- CACATTGCGCCCGTCAGTATTCTGGCGGGCATGCCTGTTCGAGCGTCAT- TACGCCCCTCAAGTCCCCTGTGGACTTGGTGTTGGGGATCGGCGAGGCTG- GTTTTCCAGCACAGCCGTCCCTTAAATTAATTGGCGGTCTCGCCGTG- GCCCTCCTCTGCGCAGTAGTAAAACACTCGCAACAGGAGCCCGGCGCG- GTCCACTGCCGTAAAACCCCCCCAACTTTTTATAGTTGACCTCGAATCAG- GTAGGACTACCCGCTGAACTTAAGCATATCAATAAGCCGGAGGAAAACC- GAATCATATTTCCCCGAAGGA |
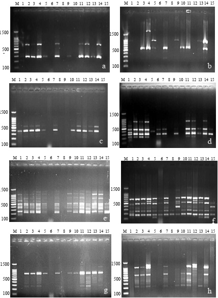
Jumlah pita terbanyak adalah 11 pita diamplifikasi oleh primer OPA-03, dan terendah adalah 2 pita yang diamplifikasi oleh primer OPAB-04, OPC-01, dan OPA-04. Profil pita-pita yang dihasilkan dari kedelapan primer yang telah diuji, dapat digunakan untuk tujuan analisis keragaman genetik M. anisopliae. Profil pita DNA M. anisopliae dengan marka RAPD dapat dilihat padGambar 3.
Berdasarkan hasil amplifikasi dengan menggunakan 8 primer, diperoleh data berupa skoring untuk menentukan kesamaan genetik antar individu dalam 15 sampel M. anisopliae.
Pengelompokan hasil analisis keragaman genetik melalui pohon filogenetik (dendogram) berdasarkan marka molekuler RAPD, dapat mengetahui kekerabatan M. anisopliae di 15 lokasi propinsi Sumatera Utara. Pohon filogenetik dapat dilihat padaGambar 4. Hasil analisis jarak genetik atau ketidaksamaan genetik M. anisopliae berdasarkan teknik RAPD disajikan padaTabel 4.
Gambar 2.ENeighbour-joining tree dari sekuens menggunakan primer ITS 1 yang menggambarkan kekerabatan filogenetik Metarhizium anisopliae dari Sumatera Utara. Nomor aksesi NCBI sebagai strain rujukan ditampilkan di dalam kurung. Cordyceps bassiana digunakan sebagai outgroup. Angka pada cabang menunjukkan persentase bootstrap yang berasal dari 1000 sampel.(eighbor-joining tree of sequences using primer ITS 1 which illustrates the phylogenetic relationship of Metarhizium anisopliae from North Sumatra. The NCBI accession number as the reference strain is shown in brackets. Cordyceps bassiana was used as the outgroup. The number on the branch shows the percentage of bootstrap from 1000 samples).
Takson (Taxon) |
Asal isolasi (Substrate) |
Lokasi (Location) |
Identifier |
No Aksesi NCBI (No.accession) |
Referensi (Reference) |
|---|---|---|---|---|---|
Metarhizium anisopliae |
Tanah (Soil) |
China |
MaTS04 |
KX057377 |
|
M. anisopliae |
Tanah (Soil) |
China |
MaTS02 |
KX057378 |
|
M. anisopliae var. anisopliae |
Tanah (Soil) |
Turki |
KTU 19 |
FJ177494 |
|
M. anisopliae |
Tanah (Soil) |
China |
CNGD4 |
FJ545279 |
|
M. anisopliae var. anisopliae |
Tanah (Soil) |
British Columbia |
LRC 211 |
EU307909 |
|
M. anisopliae var. anisopliae |
Bahan gundukan rayap (Termite mounds) |
Australia |
FI-775 |
AF137059 |
|
M. brunneum |
Tanah (Soil) |
Swiss |
ARSEF 4179 |
HQ331451 |
|
M. brunneum |
- | Amerika |
ARSEF 2107 |
NR_132023 |
|
Cordyceps bassiana |
- | Jepang |
- |
AB079609 |
Gambar 3.Profil DNA Metarhizium anisopliae menggunakan primer a: OPAB-04; b: OPC-04; c: OPC-01; d: OPAB-09; e: OPA-03; f: OPAB-03; g: OPA-04; h: OPA-10. Keterangan M: Marka; 1: Kampung Baru (Labuhan Batu); 2: Bandar Rejo (Labuhan Batu); 3: Bandar Selamat (Labuhan Batu); 4: Sipenggeng (Tapanuli Selatan); 5: Perdamean (Tapanuli Selatan); 6: Bandar Tarutung (Tapanuli Selatan); 7: Lanbau (Simalungun); 8: Bandar Tonga (Simalungun); 9: Lias Baru (Simalungun); 10: Perdamaian (Langkat); 11: Teluk Parit Kaca (Langkat); 12: Mancang (Langkat); 13: Gunung Rintih (Deli Serdang); 14: Namotualang (Deli Serdang); 15 Kutambelin (Deli Serdang).(Metarhizium anisopliae DNA profile using primer a: OPAB-04; b: OPC-04; c: OPC-01; d: OPAB-09; e: OPA-03; f: OPAB-03; g: OPA-04; h: OPA-10. Caption M: Marking; 1: Kampung Baru (Labuhan Batu); 2: Bandar Rejo (Labuhan Batu); 3: Bandar Selamat (Labuhan Batu); 4: Sipenggeng (Tapanuli Selatan); 5: Perdamean (Tapanuli Selatan); 6: Bandar Tarutung (Tapanuli Selatan); 7: Lanbau (Simalungun); 8: Bandar Tonga (Simalungun); 9: Lias Baru (Simalungun); 10: Perdamaian (Langkat); 11: Teluk Parit Kaca (Langkat); 12: Mancang (Langkat); 13: Gunung Rintih (Deli Serdang); 14: Namotualang (Deli Serdang); 15 Kutambelin (Deli Serdang)).
Gambar 4.Pohon filogenetik keragaman genetik Metarhizium anisopliae di lima belas lokasi Propinsi Sumatera Utara berdasarkan marka RAPD. M anisopliae 1: Kampung Baru (Labuhan Batu); 2: Bandar Rejo (Labuhan Batu); 3: Bandar Selamat (Labuhan Batu); 4: Sipenggeng (Tapanuli Selatan); 5: Perdamean (Tapanuli Selatan); 6: Bandar Tarutung (Tapanuli Selatan); 7: Lanbau (Simalungun); 8: Bandar Tonga (Simalungun); 9: Lias Baru (Simalungun); 10: Perdamaian (Langkat); 11: Teluk Parit Kaca (Langkat); 12: Mancang (Langkat); 13: Gunung Rintih (Deli Serdang); 14: Namotualang (Deli Serdang); 15: Kutambelin (Deli Serdang). Angka pada cabang menunjukkan persentase bootstrap yang berasal dari 1000 sampel. Analisis pengelompokan (cluster analysis) menggunakan metode Neighbour-Joining Tree.(Phylogenetic tree of genetic diversity of Metarhizium anisopliae at fifteen locations in North Sumatra Province based on RAPD markers. M anisopliae1: Kampung Baru (Labuhan Batu); 2: Bandar Rejo (Labuhan Batu); 3: Bandar Selamat (Labuhan Batu); 4: Sipenggeng (Tapanuli Selatan); 5: Perdamean (Tapanuli Selatan); 6: Bandar Tarutung (Tapanuli Selatan); 7: Lanbau (Simalungun); 8: Bandar Tonga (Simalungun); 9: Lias Baru (Simalungun); 10: Perdamaian (Langkat); 11: Teluk Parit Kaca (Langkat); 12: Mancang (Langkat); 13: Gunung Rintih (Deli Serdang); 14: Namotualang (Deli Serdang); 15: Kutambelin (Deli Serdang). The number on the branch indicates the percentage of bootstrap from 1000 samples. Grouping analysis (cluster analysis) using the Neighbor-Joining Tree).
PEMBAHASAN
Morfologi M. anisopliae
Identifikasi morfologi M. anisopliae diamati berdasarkan bentuk dan warna konidia, serta warna koloni. Bentuk konidia dalam media SDAY di bawah pengamatan mikroskop berbentuk silinder dengan ujung bulat dan umumnya berwarna hijau muda dan beruntai bersama. Lima belas isolat dari penelitian ini diidentifikasi sebagai M. anisopliae berdasarkan karakter morfologi. Ukuran konidia dengan lebar minimum dan maksimum masing- masing adalah 1,80 ± 0,29 μm dan 2,43 ± 0,29 μm, serta panjang minimum dan maksimum masing- masing adalah 5,96 ± 0,41 μm dan 6,54 ± 0,57 μm. Hal ini, sesuai dengan penelitian yang dilakukan oleh (Ghayedi & Abdollahi, 2013) bahwa konidia M. anisopliae berbentuk silinder ke oval dan berukuran <9 μm. Rasio panjang/lebar konidia minimum 2,63 μm dan maksimum 3,56 μm. (Tangthirasunun et al., 2010) membagi dimensi konidia rasio panjang/lebar konidia M. anisopliae ke dalam tiga kelompok. Kelompok rasio panjang/ lebar konidia yang rendah, yaitu berukuran ≤2,18 μm, kelompok rasio panjang/lebar konidia medium berukuran antara 2,33–2,87 μm, dan kelompok rasio panjang/lebar konidia tinggi berukuran ≥2,91 μm. Isolat M. anisopliae pada penelitian ini masuk ke dalam kategori konidia medium dan tinggi yang dikemukakan oleh (Tangthirasunun et al., 2010) .
|
Kode (Code) |
Lokasi (Location) |
1 |
2 |
3 |
4 |
5 |
6 |
7 |
8 |
9 |
10 |
11 |
12 |
13 |
14 |
15 |
|---|---|---|---|---|---|---|---|---|---|---|---|---|---|---|---|---|
1. |
Kampung Baru, Labuhan Batu |
|||||||||||||||
2. |
Bandar Rejo, Labuhan Batu |
0,466 | ||||||||||||||
3. |
Bandar Selamat, Labuhan Batu |
0,470 | 0,051 |
|||||||||||||
4. |
Sipenggeng Tapanuli Selatan |
0,509 | 0,159 |
0,163 |
||||||||||||
5. |
Perdamaian Tapanuli Selatan |
0,336 | 0,373 |
0,377 |
0,416 |
|||||||||||
6. |
Bandar Tarutung Tapanuli Selatan |
0,250 | 0,444 |
0,448 |
0,486 |
0,314 |
||||||||||
7. |
Lanbau Simalungun |
0,520 | 0,170 |
0,175 |
0,180 |
0,427 |
0,498 |
|||||||||
8. |
Bandar Tonga Simalungun |
0,284 | 0,477 |
0,481 |
0,520 |
0,347 |
0,077 |
0,531 |
||||||||
9. |
Lias Baru Simalungun |
0,405 | 0,442 |
0,446 |
0,484 |
0,231 |
0,382 |
0,496 |
0,416 |
|||||||
10. |
Perdamaian Langkat |
0,338 | 0,316 |
0,320 |
0,358 |
0,245 |
0,316 |
0,370 |
0,349 |
0,313 |
||||||
11. |
Teluk Langkat |
0,494 | 0,144 |
0,148 |
0,153 |
0,401 |
0,471 |
0,128 |
0,505 |
0,469 |
0,343 |
|||||
12. |
Mancang Langkat |
0,505 | 0,363 |
0,367 |
0,405 |
0,412 |
0,483 |
0,417 |
0,517 |
0,481 |
0,355 |
0,390 |
||||
13. |
Gunung Rintih Deli Serdang |
0,443 | 0,244 |
0,248 |
0,287 |
0,350 |
0,421 |
0,298 |
0,454 |
0,419 |
0,293 |
0,272 |
0,340 |
|||
14. |
Namotualang Deli Serdang |
0,479 | 0,164 |
0,168 |
0,206 |
0,386 |
0,457 |
0,218 |
0,490 |
0,455 |
0,329 |
0,191 |
0,376 |
0,257 |
||
15. |
Kutambelin Deli Serdang |
0,259 | 0,452 |
0,456 |
0,494 |
0,322 |
0,176 |
0,506 |
0,209 |
0,390 |
0,324 |
0,479 |
0,491 |
0,429 |
0,465 |
Hasil pengamatan warna koloni isolat M. anisopliae yang ditumbuhkan pada media SDAY selama 16 hari menunjukkan miselia cendawan awalnya berwarna putih ke krem, lalu menjadi kekuningan atau kuning kehijauan atau menjadi hijau tua. Umumnya, isolat berwarna kuning kehijauan, kecuali M13 hijau tua. Hal ini, sesuai dengan penelitian yang dilakukan oleh (Ghayedi & Abdollahi, 2013) bahwa warna koloni M. anisopliae adalah hijau kekuningan dan warna hijau zaitun.(Bridge et al., 1993)mendeskripsikan M. anisopliae memiliki warna hijau kekuningan, warna kuning langsat, hijau tua rumput, merah jambu atau merah anggur kekuningan. (N et al., 2015) juga melaporkan morfologi warna koloni M. anisopliae adalah hijau pucat atau hijau tua.
Di alam isolat M. anisopliae mengandung kumpulan genotipe yang beragam dan mungkin terdiri atas spesies yang kompleks dan banyak melibatkan ekpresi genom. Oleh karena itu, bisa terjadi bahwa dalam satu taksa, isolat individu dapat menunjukkan variasi karakter biologi (Rachappa et al., 2009). (Milner et al., 2002) menemukan variasi dalam karakter koloni M. anisopliae yang dikumpulkan dari lokasi geografi dan inang serangga. (Fernandes et al., 2009) menyatakan morfologi M. anisopliae yang berbeda dapat terjadi karena kondisi lingkungan dan fisiologis yang bervariasi.
Molekuler M. anisopliae dengan sekuensing menggunakan primer ITS1 dan ITS4
Dari pohon filogenetik hasil analisa sekuensing 15 sampel isolat M. anisoplie memiliki kekerabatan yang dekat dengan M. anisopliae dan M. brunnuem yang diisolasi dari tanah dari 15 lokasi. M1 (Kampung Baru) memiliki kekerabatan 86% dengan nomor aksesi KX057377 dan KX057377 (China) dan FJ177494 (Turki). M12 (Mancang) memiliki kekerabatan yang dekat, yaitu 98% dengan M. anisopliae dan M. brunnuem dengan nomor aksesi AF137059 (Australia), HQ331451 (Swiss), dan NR_132023 (Amerika). M9 (Lias Baru) memiliki kekerabatan yang dekat, yaitu 99% dengan M. anisopliae dengan nomor aksesi KX057378 (China), FJ177494 (Turki), dan FJ545279 (China). Sisa isolat lainnya memiliki kekerabatan yang dekat, yaitu 99% dengan M. anisopliae dengan nomor aksesi KX057377 (China) dan EU307909 (British Columbia). Dalam penelitian ini, semua sampel M. anisopliae diisolasi dari tanah perkebunan (pertanian). (Nishi et al., 2017) melaporkan lebih banyak menemukan M. anisopliae pada tanah pertanian dibandingkan dengan tanah bukan pertanian. Akan tetapi, (Keyser et al., 2015)melaporkan bahwa jarang menemukan M. anisopliae dari tanah pertanian di Denmark dan lebih didominasi oleh M. flavoviridae. Hal ini menunjukkan bahwa distribusi M. anisopliae menunjukkan variasi pada sampel tanah dan lokasi yang berbeda. (Dong et al., 2016) melaporkan bahwa pada cendawan Metarhizium melimpah di daerah Selatan Barat Daya daerah China termasuk daerah pertanian. Hal ini berhubungannya dengan kondisi iklim area yang memiliki waktu musim panas yang panjang dengan rata-rata suhu 27–33 °C dan dengan musim dingin yang pendek tanpa salju sehingga kondisi ini sesuai dengan pertumbuhan M. anisopliae. Diduga kondisi ini sama dengan di Sumatera Utara dengan rata-rata suhu 22,1–33 °C(Sumut, 2016) yang menyebabkan homologi cendawan M. anisopliae yang diperoleh dari penelitian ini berkisar 98% dengan cendawan M. anisopliae yang diisolasi oleh (Freed et al., 2014) . Hasil penelitian (Dong et al., 2016)menemukan spesies M. anisopliae di daerah Tibet, tetapi tidak di Qinghai dan Gansu (China) karena daerah geografi Tibet lebih hangat dibandingkan dengan di Qinghai dan Gansu.
Profil pita DNA hasil PCR dengan marka RAPD
Jumlah pita DNA hasil amplifikasi dari ke-8 primer dihasilkan 39 total pita DNA atau 98,44% pita di antaranya merupakan pita polimorfik. Semakin banyak pita polimorfik, semakin banyak situs penempelan primer (Trizelia, 2005) .
Primer yang paling banyak menghasilkan pita adalah primer OPAB-09, OPA-03, dan OPAB- 03 (7, 11, dan 7 pita). Hal ini sama dengan penelitian yang dilakukan oleh(Freed et al., 2014) bahwa 5 primer, yaitu OPA-04, OPA-03, OPA-10, OPAB-09, dan OPA-12) adalah yang paling edukatif karena primer-primer ini mengenali pita polimorfik secara maksimum dan menghasilkan jumlah pola pita yang tinggi dengan 49% pita adalah polimorfik.
Jarak genetik antara isolat dari berbagai lokasi disajikan pada . Jarak genetik antara isolat berkisar dari 0,051 sampai 0,520%, dengan jarak genetik maksimum 0,520% antara isolat Lanbau (Simalungun) dengan Kampung Baru (Labuhan Batu) dan isolat Bandar Tonga (Simalungun) dan Sipenggeng (Tapanuli Selatan). Jarak atau ketidaksamaan genetik ini diduga karena lokasi pengambilan isolat-isolat ini berada pada kabupaten yang berjauhanTabel 1. Sementara, jarak genetik terdekat isolatnya diambil dari kabupaten yang sama (berdekatan).
Pada pohon filogenetik berdasarkan hasil analisis RAPD, M. anisopliae terbagi menjadi 3 kelompok (cluster), yaitu kelompok 1 terdiri atas Ma 11 (Teluk), Ma 7 (Lanbau), Ma 4 (Sipenggeng), Ma 3 (Bandar Selamat), Ma 2 (Bandar Rejo), Ma 14 (Namotualang) dan Ma 13 (Gunung Rintih); kelompok 2 terdiri atas Ma 8 (Bandar Tonga), Ma 6 (Bandar Tarutung), Ma 15 (Kutambelin), Ma 1 (Kampung Baru), Ma 9 (Lias Baru), Ma 5 (Perdamean), dan Ma 10 (Perdamaian); dan kelompok 3 hanya terdiri atas Ma 12 (Mancang). Dari pengelompokan-pengelompokan yang terbagi pada pohon filogenetik, tidak ada kelompok yang berasal dari kabupaten yang sama dan semua kelompok tersebar dalam 3 kelompok. Isolat yang berasal dari tempat yang sama belum tentu memiliki profil genetik yang sama. Keadaan tanah kebun yang diambil meskipun berasal dari kabupaten yang sama, diduga memiliki perbedaan kondisi kebun yang berbeda. Perbedaan ini bisa disebabkan banyak hal, dapat disebabkan oleh kondisi internal cendawan itu sendiri atau dapat juga disebabkan oleh kondisi eksternal, yaitu interaksi cendawan dengan lingkungan. Menurut (Strom & Bushley, 2016) heterokariosis adalah bagian integral dari siklus paraseksual yang digunakan oleh cendawan aseksual (termasuk M. anisopliae) yang dominan untuk introduksi dan mempertahankan variasi genetik dalam populasi. Heterokariosis mungkin berperan dalam kemampuan jamur untuk merespons lingkungan mereka. Melalui proses ini akan menghasilkan strain yang secara genetik berbeda. (VN & J, 2007) menyatakan bahwa cendawan M. anisopliae juga mengembangkan adaptasi yang berbeda sesuai dengan jenis tanah dan/atau rizosfer yang ada di mana cendawan ini muncul.
Pada pohon filogenetik dapat dilihat pada kelompok-kelompok yang sama asal isolat tidak terdapat pengelompokan berdasarkan jarak geografis antara isolat. Hal ini sama seperti hasil penelitian (Sevim et al., 2012) bahwa variabilitas genetik yang tinggi ditemukan antara isolat M. anisopliae var. anisopliae yang diperoleh dari tanah pertanian/non pertanian wilayah timur Laut Mati Turki dan kelompok yang ditentukan tidak terkait dengan tipe habitat, lokasi geografis, pertumbuhan di tempat yang berbeda suhu, resistensi UV, atau virulensi terhadap T. molitor. (Pong et al., 2017) juga melaporkan M. anisopliae yang diisolasi dari tanah mineral dan tanah gambut tidak berada dalam satu kelompok, ini menunjukkan bahwa jenis tanah bukan faktor yang mempengaruhi variasi genetik M. anisopliae. Pada pohon filogenetik ada temuan menarik bahwa pertanaman yang diberi tandan kosong kelapa sawit (M8 dan M15) dan limbah cair kelapa sawit (M10) berada dalam cluster yang sama. Praktek budi daya ini diperoleh dari hasil wawancara petani yang kebunnya menjadi lokasi pengambilan sampel tanah untuk isolasi M. anisopliae.
Primer-primer RAPD yang digunakan dalam penelitian mampu mempelajari keragaman genetik M. anisopliae. Hal ini seperti yang dilakukan (Ranga & Saini, 2011) yang membuktikan bahwa Metarhizium yang berada dalam populasi tertentu memiliki tingkat polimorfisme yang bervariasi. (Freed et al., 2014) mengatakan RAPD-PCR dari M. anisopliae menunjukkan tingkat polimorfisme yang dapat dipertimbangkan dalam kelompok yang sama dan tidak ada hubungannya dengan asal serangga inang. Hasil penelitian (Velásquez et al., 2007) menunjukkan bahwa analisis RAPD-PCR berguna dalam mendeteksi variabilitas genetik di dalam dan di antara kelompok isolat M. anisoplie yang dikumpulkan dari wilayah geografis yang berbeda. Tidak ada genotipe identik yang terdeteksi oleh analisis ini. Namun, analisis RAPD tidak mendeteksi adanya hubungan antara keragaman genetik isolat dan lokasi asalnya isolat dikumpulkan.
KESIMPULAN
Hasil identifikasi secara morfologi lima belas isolat adalah Metarhizium sp. Hasil sekuensing semua isolat M. anisopliae yang diisolasi dari tanah memiliki homologi 86–99% dengan strain M. anisopliae yang dirujuk berdasarkan database GenBank NCBI. Keragaman genetik M. anisopliae dapat dideteksi menggunakan marka RAPD. Dari 8 primer RAPD, diperoleh 38 pita DNA yang 98,44% di antaranya merupakan pita polimorfik. Nilai ketidaksamaan genetik ke lima belas M. anisopliae berkisar 0,051 hingga 0,520%. Analisis pengelompokan RAPD menggunakan metode Neighbour-Joining Tree menunjukkan terdapat tiga kelompok utama. Pengujian keragaman genetik M. anisopliae dengan menggunakan marka RAPD di perkebunan kelapa sawit ini merupakan langkah awal dalam seleksi atau penafisan untuk memilih isolat unggul dari cendawan M. anisopliae.
References
- Bai N.S., Sasidharan T.O., Remadevi O.K., Dharmarajan P., Pandian S.K., Balaji K.. Morphology and RAPD analysis of certain potentially ento-mopathogenic isolates of Metarhizium anisopliae Metsch. Journal of Microbiology and Biotechnology Research. 2015; 5:34-40.
- Sumut B.P.S.. Propinsi Sumatera Utara Dalam Angka. 2016. Publisher Full Text
- Bridge P.D., Williams M.A.J., Prior C., Paterson R.R., M.. Morphological, biochemical and mole-cular characteristics of Metarhizium anisopliae and M. flavoviride. Journal of General Microbiology. 1993; 139:1163-1169. DOI
- Dong T., Zhang B., Jiang Y., Hu Q.. Isolation and classification of fungal whitefly entomo-pathogens from soils of Qinghai-Tibet Plateau and Gansu Corridor in China. PLOS ONE. 2016; 11DOI
- Driver F., Milner R.J., Trueman J.W.H.. A taxonomic revision of Metarhizium based on a phylogenetic analysis of rDNA sequence data. Mycological Research. 2000; 104:134-150. DOI
- Fernandes E.K.K., Keyser C.A., Pong J.P., Rangel D.E.N.. Characterization of Metarhizium species and varieties based on molecular analysis, heat tolerance and cold activity. Journal of Applied Microbiology. 2009; 108:115-128. DOI
- Freed S., Feng-Liang J., Shun-Xiang R.. Intraspecific variability among the isolates of Metarhizium anisopliae var. anisopliae by RAPD markers. International Journal of Agriculture and Biology. 2014; 16:899-904.
- Freed S., Jin F.-L., Ren S.-X.. Determination of genetic variability among the isolates of Metarhizium anisopliae var. anisopliae from different geographical origins. World Journal of Microbiology and Biotechnology. 2011; 27:359-370. DOI
- Ghayedi S., Abdollahi M.. Biocontrol potential of Metarhizium anisopliae (Hypocreales: Clavicipitaceae), isolated from suppressive soils of the Boyer-Ahmad region, Iran, against J2S of Heterodera avenae. Plant Protection Reserach. 2013; 53:165-171. DOI
- Glare T.R., Milner R.J., Beaton C.D.. Variation in Metarhizium, a genus of fungal pathogens attacking Orthoptera: Is phialide morphology a useful taxonomic criterion?. Journal of Orthoptera Research. 1996; 5:19-27. DOI
- Inglis G.D., Duke G.M., Goettel M.S., Kabaluk J.T.. Genetic diversity of Metarhizium anisopliae var. anisopliae in southwestern British Columbia. Journal of Invertebrate Pathology. 2008; 98:101-113. DOI
- Kepler R.M., Rehner S.A.. Genome‐assisted development of nuclear intergenic sequence markers for entomopathogenic fungi of the Metarhizium anisopliae species complex. Molecular Ecology Resources. 2013; 13:210-217. DOI
- Keyser C.A., Fine Licht H.H., Steinwender B.M., Meyling N.V.. Diversity within the entomopathogenic fungal species Metarhizium flavoviride associated with agricultural crops in Denmark. BMC Microbiology. 2015; 15(249)DOI
- Korosi G., Wilson B., Powell K., Ash G., Reineke A., Savocchia S.. Occurrence and diversity of entomopathogenic fungi (Beauveria spp. and Metarhizium spp.) in Australian vineyard soils. Journal of Invertebrate Pathology. 2019; 164:69-77. DOI
- Kumar N., Thakur S.K.. Randomly amplified polymorphic DNA: A brief review. American Journal Animal and Veterinary Science. 2014; 9:6-13. DOI
- VN Meyling, J Elibenberg. Ecology of the entomopathogenic fungi Beauveria bassiana and Metarhizium anisopliae in temperate agroecosystemens: Potential for conservation biological control. Biological Control. 2007; 43:145-155. DOI
- Milner R.J., Lim R.P., Hunter D.M.. Risks to the aquatic ecosystem from the application of Metarhizium anisopliae for locust control in Australia. Pest Management Sceince. 2002; 58:718-723. DOI
- Navarro-Barranco H., Brunner-Mendoza C., R Reyes-Montes M., Duarte-Escalante E., Toriello C.. Phenotypic and molecular analysis of Mexican Metarhizium anisopliae strains. Revista Mexicana de Biodiversidad. 2019; 90:e902643DOI
- Nishi O., Iiyama K., Yasunaga-Aoki C., Shimizu S.. Species associations and distributions of soil entomopathogenic fungi Metarhizium spp. in Japan. Mycology. 2017; 8:308-317. DOI
- CC Pereira, Silva MLR Bastos, VAL Bezerra Cavalcanti, ACE Santo Mergulhão. Characterization of Metarhizium anisopliae using amplifed ribossomal DNA restriction analysis (ARDRA) and internal transcribed spacer (ITS) sequence analysis. African Journal of Biotechnology. 2012; 11:16635-16639. DOI
- Pong K., Mslim R., Azmi W., Kamarudin N., Ali D.S.R.. Genetic variation of entomopathogenic fungi, Metarhizium anisopliae and Isaria amoenerosea and their pathogenicity against subterranean termite, Coptotermes curvignathus. Journal of Oil Palm Research. 2017; 29:35-46. DOI
- Promega. Wizard Genomic DNA Purification Kit Technical Manual. 2019. Publisher Full Text
- Ranga V., Saini G.K.. Biochemical and molecular characterization of wild-type and fused protoplasts of Beauveria bassiana and Metarhizium anisopliae. Folia Microbiologica. 2011; 56:289-295. DOI
- Rachappa V., Lingappa S., Patil R.K.. Growth characteristics and bio-efficacy of different isolates of Metarhizium anisopliae (Metschnikoff) Sorokin against certain key insect pests. Journal of Biology Control. 2009; 23:271-276. DOI
- N Sapna Bai, TO Sasidharan, OK Remadevi, P Dharmarajan. Morphology and RAPD analysis ofcertain potentially entomopathogenic isolates of Metarhizium anisopliae Metsch. Journal of Microbiology and Biotechnology Research. 2015; 5:34-40. DOI
- Schneider S., Rehner S.A., Widmer F., Enkerli J.. A PCR-based tool for cultivation-independent detection and quantification of Metarhizium clade 1. Journal of Invertebrate Pathology. 2011; 108:106-114. DOI
- Serna-Domínguez M.G., Andrade-Michel G.Y., Rosas-Valdez R., Castro-Félix P., Arredondo-Bernal H.C., Gallou A.. Genetic diversity of the Metarhizium anisopliae complex in Colima, Mexico, using microsatellites. Fungal Biology. 2019; 123:855-863. DOI
- Sevim A., Demir I., Höfte M., Humber R., Demirbag Z.. Isolation and characterization of entomopathogenic fungi from hazelnut-growing region of Turkey. BioControl. 2010; 55:279-297. DOI
- Sevim A., Höfte M., Demirbağ Z.. Genetic variability of Beauveria bassiana and Metarhizium anisopliae var. anisopliae isolates obtained from the Eastern Black Sea Region of Turkey. Turkish Journal of Biology. 2012; 3:255-265. DOI
- Leger RJJB Wang. Metarhizium: Jack of all trades, master of many. Open Biology. 2020; 10(200307)DOI
- Strom N.B., Bushley K.E.. Two genomes are better than one: History, genetics, and biotechnological applications of fungal heterokaryons. Fungal Biology and Biotechnology. 2016; 3:1-14. DOI
- Stone L.B.L., Bidochka M.J.. The multifunctional lifestyles of Metarhizium: Evolution and appli-cations. Applied Microbiology and Biotechnology. 2020; 104:9935-9945. DOI
- Susanto A., Prasetyo A.E., Sudharto S., Priwiratama H., Roziansha T.A.P.. CV. Mitra Karya: Medan; 2012.
- Tangthirasunun N., Poeaim S., Soytong K., Sommartya P., Popoonsak S.. Variation in morphology and ribosomal DNA among isolates of Metarhizium anisopliae from Thailand. Journal of Agiculture Technology. 2010; 6:317-329.
- Tiago P.V., Carneiro-Leão M.P., Lima M.L.A., Oliveira N.T., Luna-Alves Lima E.A.. Polymorphism in Metarhizium anisopliae var. anisopliae (Hypocreales: Clavicipitaceae) based on internal transcribed spacer-RFLP, ISSR and intron markers. Genetics and Molecular Research. 2011; 10:1565-1575. DOI
- Trizelia. Cendawan entomopatogen Beauveria bassiana (Bals.) Vuill. 2005.
- Trizelia T., Santoso T., Sosromarsono S., Rauf A., Sudirman L.I.. Keragaman genetik berbagai isolat Beauveria bassiana (Bals.) Vuill. Jurnal Natur Indonesia. 2013; 14:176-183. DOI
- Velásquez V.B., Cárcamo M.P., Meriño C.R., Iglesias A.F., Durán J.F.. Intraspecific differentiation of Chilean isolates of the entomopathogenic fungi Metarhizium anisopliae var. anisopliae as revealed by RAPD, SSR and ITS markers. Genetics and Molecular Biology. 2007; 30:89-99. DOI
- Yokoyama E., Yamagishi K., Hara A.. Group-I intron containing a putative homing endonuclease gene in the small subunit ribosomal DNA of Beauveria bassiana IFO 31676. Molecular Biology and Evolution. 2002; 19:2022-2025. DOI
- Zimmerman G.. The entomopathogenic fungus Metarhizium anisopliae and its potential as a biocontrol agent. Pest Management Science. 1993; 37:375-379. DOI
Bai NS, Sasidharan TO, Remadevi OK, Dharmarajan P, Pandian SK, Balaji K. 2015. Morphology and RAPD analysis of certain potentially ento-mopathogenic isolates of Metarhizium anisopliae Metsch. (Deuteromycotina: Hypocreales). Journal of Microbiology and Biotechnology Research 5:34–40.
BPS Sumut. 2016. Propinsi Sumatera Utara Dalam Angka. Tersedia pada: https://sumut.bps.go.id/ [diakses 20 Oktober 2021].
Bridge PD, Williams MAJ, Prior C, RR. Paterson M. 1993. Morphological, biochemical and mole-cular characteristics of Metarhizium anisopliae and M. flavoviride. Journal of General Microbiology 139:1163–1169. DOI: https://doi.org/10.1099/00221287-139-6-1163.
Dong T, Zhang B, Jiang Y, Hu Q. 2016. Isolation and classification of fungal whitefly entomo-pathogens from soils of Qinghai-Tibet Plateau and Gansu Corridor in China. PLOS ONE 11: e0156087. DOI: https://doi.org/10.1371/journal.pone.0156087.
Driver F, Milner RJ, Trueman JWH. 2000. A taxonomic revision of Metarhizium based on a phylogenetic analysis of rDNA sequence data. Mycological Research 104:134–150. DOI: https://doi.org/10.1017/S0953756299001756.
Fernandes EKK, Keyser CA, Pong JP, Rangel DEN. 2009. Characterization of Metarhizium species and varieties based on molecular analysis, heat tolerance and cold activity. Journal of Applied Microbiology 108:115–128. DOI: https://doi.org/10.1111/j.1365-2672.2009.04422.x.
Freed S, Feng-Liang J, Shun-Xiang R. 2014. Intraspecific variability among the isolates of Metarhizium anisopliae var. anisopliae by RAPD markers. International Journal of Agriculture and Biology 16:899‒904.
Freed S, Jin F-L, Ren S-X. 2011. Determination of genetic variability among the isolates of Metarhizium anisopliae var. anisopliae from different geographical origins. World Journal of Microbiology and Biotechnology 27:359–370. DOI: https://doi.org/10.1007/s11274-010-0466-8.
Ghayedi S, Abdollahi M. 2013. Biocontrol potential of Metarhizium anisopliae (Hypocreales: Clavicipitaceae), isolated from suppressive soils of the Boyer-Ahmad region, Iran, against J2S of Heterodera avenae. Plant Protection Reserach 53:165–171. DOI: https://doi.org/10.2478/jppr-2013-0025.
Glare TR, Milner RJ, Beaton CD. 1996. Variation in Metarhizium, a genus of fungal pathogens attacking Orthoptera: Is phialide morphology a useful taxonomic criterion? Journal of Orthoptera Research 5:19–27 DOI: https://doi.org/10.2307/3503572.
Inglis GD, Duke GM, Goettel MS, Kabaluk JT. 2008. Genetic diversity of Metarhizium anisopliae var. anisopliae in southwestern British Columbia. Journal of Invertebrate Pathology 98:101–113. DOI: https://doi.org/10.1016/j.jip.2007.12.001.
Kepler RM, Rehner SA. 2013. Genome‐assisted development of nuclear intergenic sequence markers for entomopathogenic fungi of the Metarhizium anisopliae species complex. Molecular Ecology Resources 13:210–217. DOI: https://doi.org/10.1111/1755-0998.12058.
Keyser CA, De Fine Licht HH, Steinwender BM, Meyling NV. 2015. Diversity within the entomopathogenic fungal species Metarhizium flavoviride associated with agricultural crops in Denmark. BMC Microbiology 15:249. DOI: https://doi.org/10.1186/s12866-015-0589-z.
Korosi G, Wilson B, Powell K, Ash G, Reineke A, Savocchia S. 2019. Occurrence and diversity of entomopathogenic fungi (Beauveria spp. and Metarhizium spp.) in Australian vineyard soils. Journal of Invertebrate Pathology 164:69–77 DOI: https://doi.org/10.1016/j.jip.2019.05.002.
Kumar N, Thakur SK. 2014. Randomly amplified polymorphic DNA: A brief review. American Journal Animal and Veterinary Science 9:6–13. DOI: https://doi.org/10.3844/ajavsp.2014.6.13.
Meyling VN and Elibenberg J. 2007. Ecology of the entomopathogenic fungi Beauveria bassiana and Metarhizium anisopliae in temperate agroecosystemens: Potential for conservation biological control. Biological Control 43:145–155. DOI: https://doi.org/10.1016/j.biocontrol.2007.07.007.
Milner RJ, Lim RP, Hunter DM. 2002. Risks to the aquatic ecosystem from the application of Metarhizium anisopliae for locust control in Australia. Pest Management Sceince 58:718–723. DOI: https://doi.org/10.1002/ps.517.
Navarro-Barranco H, Brunner-Mendoza C, Reyes-Montes M del R, Duarte-Escalante E, Toriello C. 2019. Phenotypic and molecular analysis of Mexican Metarhizium anisopliae strains. Revista Mexicana de Biodiversidad 90:e902643. DOI: https://doi.org/10.22201/ib.20078706e.2019.90.2643.
Nishi O, Iiyama K, Yasunaga-Aoki C, Shimizu S. 2017. Species associations and distributions of soil entomopathogenic fungi Metarhizium spp. in Japan. Mycology 8:308–317. DOI: https://doi.org/10.1080/21501203.2017.1386244.
Pereira de Lyra M do CC, Bastos da Silva MLR, Bezerra Cavalcanti VAL, Santo Mergulhão ACE. 2012. Characterization of Metarhizium anisopliae using amplifed ribossomal DNA restriction analysis (ARDRA) and internal transcribed spacer (ITS) sequence analysis. African Journal of Biotechnology 11:16635–16639. DOI: https://doi.org/10.5897/AJB12.906.
Pong K, Mslim R, Azmi W, Kamarudin N, Ali DSR. 2017. Genetic variation of entomopathogenic fungi, Metarhizium anisopliae and Isaria amoenerosea and their pathogenicity against subterranean termite, Coptotermes curvignathus. Journal of Oil Palm Research 29:35–46. DOI: https://doi.org/10.21894/jopr.2017.2901.04.
Promega. 2019. Wizard Genomic DNA Purification Kit Technical Manual. Tersedia pada: https://worldwide.promega.com/products/nucleic-acid-extraction/genomic-dna/wizard-genomic-dna-purification-kit/?catNum=A1120. [diakses 20 Oktober 2021].
Ranga V, Saini GK. 2011. Biochemical and molecular characterization of wild-type and fused protoplasts of Beauveria bassiana and Metarhizium anisopliae. Folia Microbiologica 56:289–295. DOI: https://doi.org/10.1007/s12223-011-0055-8.
Rachappa V, Lingappa S, Patil RK. 2009. Growth characteristics and bio-efficacy of different isolates of Metarhizium anisopliae (Metschnikoff) Sorokin against certain key insect pests. Journal of Biology Control 23:271–276. DOI: https://doi.org/10.18311/jbc/2009/3675.
Sapna Bai N, Sasidharan TO, Remadevi OK, Dharmarajan P. 2015. Morphology and RAPD analysis ofcertain potentially entomopathogenic isolates of Metarhizium anisopliae Metsch. (Deuteromycotina: Hypocreales). Journal of Microbiology and Biotechnology Research 5:34–40. DOI: https://doi.org/10.31357/jtfe.v5i1.2497.
Schneider S, Rehner SA, Widmer F, Enkerli J. 2011. A PCR-based tool for cultivation-independent detection and quantification of Metarhizium clade 1. Journal of Invertebrate Pathology 108:106–114. DOI: https://doi.org/10.1016/j.jip.2011.07.005.
Serna-Domínguez MG, Andrade-Michel GY, Rosas-Valdez R, Castro-Félix P, Arredondo-Bernal HC, Gallou A. 2019. Genetic diversity of the Metarhizium anisopliae complex in Colima, Mexico, using microsatellites. Fungal Biology 123:855–863. DOI: https://doi.org/10.1016/j.funbio.2019.09.005.
Sevim A, Demir I, Höfte M, Humber R, Demirbag Z. 2010. Isolation and characterization of entomopathogenic fungi from hazelnut-growing region of Turkey. BioControl 55:279–297. DOI: https://doi.org/10.1007/s10526-009-9235-8.
Sevim A, Höfte M, Demirbağ Z. 2012. Genetic variability of Beauveria bassiana and Metarhizium anisopliae var. anisopliae isolates obtained from the Eastern Black Sea Region of Turkey. Turkish Journal of Biology 3:255–265. DOI: https://doi.org/10.3906/biy-1009-118.
St Leger RJ, Wang JB. 2020. Metarhizium: Jack of all trades, master of many. Open Biology 10:200307. DOI: https://doi.org/10.1098/rsob.200307.
Strom NB, Bushley KE. 2016. Two genomes are better than one: History, genetics, and biotechnological applications of fungal heterokaryons. Fungal Biology and Biotechnology 3:1-14. DOI: https://doi.org/10.1186/s40694-016-0022-x.
Stone LBL, Bidochka MJ. 2020. The multifunctional lifestyles of Metarhizium: Evolution and appli-cations. Applied Microbiology and Biotechnology 104:9935–9945. DOI: https://doi.org/10.1007/s00253-020-10968-3.
Susanto A, Prasetyo AE, Sudharto S, Priwiratama H, Roziansha TAP. 2012. Pengendalian Terpadu Oryctes rhinoceros di Perkebunan Kelapa Sawit. Medan: CV. Mitra Karya.
Tangthirasunun N, Poeaim S, Soytong K, Sommartya P, Popoonsak S. 2010. Variation in morphology and ribosomal DNA among isolates of Metarhizium anisopliae from Thailand. Journal of Agiculture Technology 6:317–329.
Tiago PV, Carneiro-Leão MP, Lima MLA, Oliveira NT, Luna-Alves Lima EA. 2011. Polymorphism in Metarhizium anisopliae var. anisopliae (Hypocreales: Clavicipitaceae) based on internal transcribed spacer-RFLP, ISSR and intron markers. Genetics and Molecular Research 10:1565–1575. DOI: https://doi.org/10.4238/vol10-3gmr1069.
Trizelia. 2005. Cendawan entomopatogen Beauveria bassiana (Bals.) Vuill. (Deuteromycotina: Hyphomycetes): Keanekaragaman genetik, karakterisasi fisiologi dan virulensinya terhadap Crocidolomia pavonana (F.) (Lepidoptera: Pyralidae). Disertasi. Bogor: Institut Pertanian Bogor.
Trizelia T, Santoso T, Sosromarsono S, Rauf A, Sudirman LI. 2013. Keragaman genetik berbagai isolat Beauveria bassiana (Bals.) Vuill. (Deuteromycotina: Hyphomycetes) dan virulensinya terhadap Crocidolomia pavonana. Jurnal Natur Indonesia 14:176–183. DOI: https://doi.org/10.31258/jnat.14.3.176-183.
Velásquez VB, Cárcamo MP, Meriño CR, Iglesias AF, Durán JF. 2007. Intraspecific differentiation of Chilean isolates of the entomopathogenic fungi Metarhizium anisopliae var. anisopliae as revealed by RAPD, SSR and ITS markers. Genetics and Molecular Biology 30:89–99. DOI: https://doi.org/10.1590/S1415-47572007000100017.
Yokoyama E, Yamagishi K, Hara A. 2002. Group-I intron containing a putative homing endonuclease gene in the small subunit ribosomal DNA of Beauveria bassiana IFO 31676. Molecular Biology and Evolution 19:2022–2025. DOI: https://doi.org/10.1093/oxfordjournals.molbev.a004025.
Zimmerman G. 1993. The entomopathogenic fungus Metarhizium anisopliae and its potential as a biocontrol agent. Pest Management Science 37:375–379. DOI: https://doi.org/10.1002/ps.2780370410.
Copyright (c) 2023 Desianty Dona Normalisa Sirait, Maryani Cyccu Tobing, Irda Safni

This work is licensed under a Creative Commons Attribution 4.0 International License.
Authors who publish with this journal agree to the following terms:
- Authors retain copyright and grant the journal right of first publication with the work simultaneously licensed under a Creative Commons Attribution 4.0 International License that allows others to share the work with an acknowledgement of the work's authorship and initial publication in this journal.
- Authors are able to enter into separate, additional contractual arrangements for the non-exclusive distribution of the journal's published version of the work (e.g., post it to an institutional repository or publish it in a book), with an acknowledgement of its initial publication in this journal.
- Authors are permitted and encouraged to post their work online (e.g., in institutional repositories or on their website) prior to and during the submission process, as it can lead to productive exchanges, as well as earlier and greater citation of published work (See The Effect of Open Access).









